Виды щеток для брекет-систем
Некоторые пациенты ошибочно полагают, что после установки брекет-системы вовсе не обязательно приобретать дополнительные средства и инструменты гигиены. Они считают, что необходимого эффекта можно добиться и с помощью самой обычной зубной щетки, но у специалистов иное мнение на сей счет.
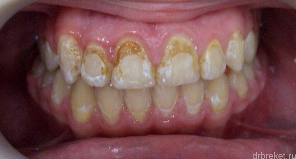
Важно! Результаты исследований и практический опыт стоматологов подтверждают тот факт, что низкий уровень качества гигиены полости рта во время ношения брекетов повышает риск развития кариеса в два раза. В подавляющем большинстве случаев кариес формируется в непосредственной близости от пластин, то есть в тех местах, которые сложнее всего поддаются чистке, особенно с использованием обычной зубной щетки
К тому же у пациентов, которые в процессе лечения пренебрегают соблюдением гигиены, наблюдается выраженное пожелтение эмали после снятия брекет-системы
В подавляющем большинстве случаев кариес формируется в непосредственной близости от пластин, то есть в тех местах, которые сложнее всего поддаются чистке, особенно с использованием обычной зубной щетки. К тому же у пациентов, которые в процессе лечения пренебрегают соблюдением гигиены, наблюдается выраженное пожелтение эмали после снятия брекет-системы.
Кариес после брекетов
Итак, все щетки, предназначенные для поддержания гигиены во время использования ортодонтической конструкции, разделяют на несколько основных видов:
- модель с V-образным вырезом: щетка для брекетов, которая предполагает более короткую щетину в центре. Если посмотреть на головку с торца, можно увидеть волоски, напоминающие по форме латинскую букву «V». Специалисты утверждают, что такой сред позволяет максимально эффективно очищать поверхность зубной эмали и пластин от загрязнений,
- специальный ершик: данный инструмент может иметь различную длину, диаметр и степень жесткости. Ершик лучше выбирать вместе с лечащим стоматологом-ортодонтом, который при необходимости может снять дополнительные замеры,
О том, как правильно чистить брекеты, читайте в нашей специальной статье >>>
Что будет, если использовать обычную щетку
Многие люди после установки брекетов не желают приобретать специальные средства по уходу за полостью рта, ожидая, что все и так будет в порядке, если чистить зубы обычной щеткой. Однако у стоматологов на этот счет другое мнение.
Многочисленные исследования и опыт стоматологов подтверждают, что если не ухаживать за зубами с брекетами особыми образом, то вероятность развития кариеса повышается более, чем в два раза. Чаще всего кариес при этом образуется как раз рядом с брекетами, там, где вычистить налет сложнее всего.
Кроме того, у всех пациентов, кто не ухаживал за зубами при помощи специальной щетки, после снятия брекетов отмечалось пожелтение эмали.
Рекомендации по уходу за зубными протезами и полостью рта — дополнительный средства
Как и естественные природные зубы, съемные протезы нуждаются в регулярном уходе, ежедневном очищении. На ортодонтических конструкциях возникает бактериальный налет, в труднодоступных уголках оседают остатки пищи. После каждого приема пищи съемные протезы нужно снимать, очищать при помощи зубной щетки, прополаскивать ротовую полость.
Помимо зубной щетки для ухода за съемными конструкциями применяются специальные таблетки для очищения, растворимые в стакане чистой воды. В этот раствор нужно поместить протез, предварительно промыв его в проточной воде. Бактериальный налет полностью удаляется с помещенной в раствор конструкции в течение 10-15 минут. В таблетках содержатся биологически активные вещества, которые очищают протез там, куда сложно добраться механически, с помощью зубной щетки. Раствор не повреждает поверхность протеза, избавляют от бактерий, вызывающих неприятный запах. Применять таблетки нужно дважды в день, утром и вечером.
Такие очищающие таблетки и другие средства для ухода за съемными стоматологическими конструкциями, можно приобрести в аптеке. Самыми популярными из них являются таблетки «President», «Protefix», средство «Сorega».
«President»

Растворимые шипучие таблетки от итальянской фирмы-изготовителя для очищения протезов. Удаляют стойкие загрязнения, пятна, бактериальный налет с помощью структуры, состоящей из трех различных слоев. Первый слой, голубого цвета, направлен на отбеливание поверхности и очищение. Второй слой, белого цвета, обеспечивает удаление более стойких пятен, налета. Третий, красный слой, оказывает дезинфицирующее действие, в его состав входят только природные ингредиенты – экстракт мяты и розмарина. В результате протез очищается от загрязнений, обретая свежий мятный аромат. В упаковке 32 таблетки.
Средняя стоимость составляет 291 руб.
Достоинства:
- таблетки тщательно очищают даже труднодоступные участки, изгибы конструкции;
- экономичное использование;
- хорошо подходят для очищения систем для исправления прикуса;
- придает ощущение свежести;
- натуральные компоненты.
Недостатки:
не обнаружено.
«Сorega»

Средство для ежедневного ухода за протезами, удаляющее зубной налет и освежающее ротовую полость. «Сorega» обеспечивает глубокое очищение без необходимости оставлять протез на всю ночь в растворе – за три минуты это средство удаляет бактерии, вызывающие неприятный запах, налет и пятна. В результате протез становится чистым, обретает свежесть. Такой вид очищения стоматологических конструкций не царапает поверхность, потому что в отличие от обыкновенных зубных паст не содержит абразивных веществ.
Средняя стоимость составляет 453 руб.
Достоинства:
- быстро и эффективно очищает;
- отбеливающий эффект;
- свежесть и чистота.
Недостатки:
высокая стоимость.
«Protefix»

Растворимые шипучие таблетки, содержащие активный кислород и оказывающие двойное действие – надежно защищает от бактерий, и предотвращает возникновение неприятных запахов. Раствор быстро и качественно удаляет зубной налет и отложения, не повреждая поверхность протеза.
Средняя стоимость составляет 360 руб.
Достоинства:
- эффективность;
- доступная цена;
- освещающий аромат.
Недостатки:
оставляют «химический» привкус.
Альтернативный способ очищения зубных протезов — использование ультразвуковой ванночки. Это оборудование надежно очищает протезы от пятен, зубных отложений, налета и бактерий. При использовании такой ванночки не нужно применять химических растворов, дополнительно приобретая таблетки. Мануальная обработка в этом случае зубной щеткой также не требуется. Такой очиститель работает от обычных батареек АА.
Стоимость оборудования выше, чем у зубных щеток и растворимых таблеток, и в среднем составляет 620 руб.

Неправильный уход может привести к появлению царапин на поверхности протеза, из-за чего количество скапливающихся бактерий увеличится, и очищение станет проблематичным. Подходящий вид средств для ухода назначает врач-стоматолог, он же дает дополнительные рекомендации по уходу за ротовой полостью. При соблюдении рекомендаций стоматолога по уходу за съемными и несъемными ортодонтическими конструкциями сохраняются чистота и комфорт использования протеза. Тщательная гигиена предотвращает появление осложнений и продлевает срок службы изделия.
Полезное видео
Из данного видео вы узнаете, как правильно ухаживать за брекетами:
Ёршики для чистки брекетов — важный элемент полноценного ухода за полостью рта. Они обеспечивают отличную защиту эмали и брекет-системы от налёта и патогенных бактерий.
При этом просты в применении. С их помощью можно не только обезопасить себя от таких проблем, как кариес и зубной камень, но и продлить срок службы изделия.
Самое главное — сделать правильный выбор, предварительно изучив характеристики того или иного ёршика. Тогда удобство и комфорт в процессе чистки обеспечены.
Электрическая щетка

Типы насадок на электрощетки
Электрическая зубная щетка представляет собой очень удобное приспособление, значительно облегчающее процесс чистки зубов, в том числе и с установленной брекет-системой. Способствует легкому, результативному удалению налета и остатков пищи с поверхности зубов и корректирующего устройства.
Достоинства изделия:
- возможность применения и взрослыми, и детьми;
- высокая эффективность чистки;
- хорошая скорость выполнения гигиенической процедуры.
Необходимо принимать во внимание, что стоматологи не рекомендуют пренебрегать таким аксессуаром-помощником, как специальная щеточка для брекетов, даже если чистка зубов с брекетами производится электрощеткой. В противном случае пациент рискует в скором времени после установки ортодонтической конструкции получить кариес или гингивит
Найти хороший ершик для очищения зубов и брекет-системы не сложно — почти все предлагаемые модели действуют по одному принципу и гарантируют отличный эффект.
Виды зубных щеток с жесткой щетиной
По назначению:
- классические зубные щетки для ежедневной гигиены, к которым относятся жесткие щетки с индексом «hard», однако изделия с пометкой «x-hard» или «extra hard» не рекомендуется использовать каждый день;
- лечебно-профилактические — предназначены для воздействия на определенные участки ротовой полости, в частности сюда относятся щетки с комбинированной щетиной. В зависимости от задач выбирается тип рабочей поверхности головки с различными уровнями положения пучков;
- узкоспециализированные — предназначены для ухода за протезами и ортодонтическими конструкциями, в эту категорию входят жесткие зубные щетки с маркировкой extra hard, позволяющие эффективно счищать налет и отложения.
По типу действия:
классические механические;
электрические с подвижной головкой, которая приводится в движение с помощью электрического моторчика; следует с особой осторожностью использовать жесткие насадки, поскольку они могут сильнее травмировать эмаль и десны, чем классические щетки;
звуковые и ультразвуковые, щетинки которых совершают колебательные движения благодаря встроенному генератору.
Профессиональная чистка
Раз в два-четыре месяца врачи рекомендуют проводить профессиональную гигиену ротовой полости в кабинете стоматолога. Она позволяет убрать пигментированный налет, камень, окрашенные пятна, вернуть естественный цвет зубов, восстановить гладкость эмали, снизить риск стоматологических заболеваний, освежить дыхание. Регулярная профгигиена упрощает ежедневный домашний уход за брекетами. Как же проходит стандартная процедура?
Врач снимает дугу и другие детали конструкции, чтобы получить свободный доступ к межзубным пространствам. Удаляет камень с зубной эмали и замков аппарата при помощи ультразвука. Убирает пигментированный налет благодаря специальной щадящей технологии: на зубы распыляют раствор чистящего средства. Затем стоматолог полирует эмаль, чтобы добиться ее гладкости и снизить риск образования нового налета. В конце процедуры фторирует зубы, чтобы укрепить эмаль и крепит обратно все детали конструкции.
Какой должна быть зубная щетка по форме и размеру
Зубные щетки выпускаются с разными размерами и формами головок
Обратите внимание на следующие особенности:
- Головка должна охватывать максимум 2-2,5 зуба. Только в этом случае чистка будет эффективной. Слишком большая головка не позволяет проникает щетинкам в межзубные пространства.
- Длина головки зубной щетки для детей должна быть 18-25 мм, а для взрослых — 30 мм максимум. У ребенка зубы только растут, челюсть еще не сформирована, поэтому большой головкой он может травмировать десны. Маленькие щетки для взрослого человека не бесполезны, но чистить ими зубы неудобно. К тому же на процедуру придется тратить много времени.
- Головка должна иметь округлую форму, чтобы риск травмирования слизистой рта свести к минимуму.
- Участок соединения головки с рукояткой должен быть подвижным, чтобы срабатывал эффект пружины, за счет которого снижается давление на зубы и десны. Почти все современные щетки имеют гибкую шейку для контроля нажатия.
Щетки отличаются по количеству пучков. Чем больше головка, тем большим числом щетинок она оснащена. Детям до 6 лет нужно подбирать модели с 23 пучками, подросткам — с 30-40, взрослым — с 45-55 пучками. У людей с брекетами должна быть щетка многопучковая (более 55). Их число указано на упаковке. Не всегда можно быстро найти этот параметр среди информации, написанной мелким шрифтом. Однако от этого зависит качество очистки зубов, поэтому лучше не оставлять эту особенность щетки без внимания.
Что касается ручки, то она просто должна быть удобной. Желательно подобрать модель с прорезиненным покрытием, которая не будет выскальзывать из руки.
Можно ли использовать электронную щетку?
Во время ношения брекет-системы многие отдают предпочтение электрической щетке, что вполне оправдано. С помощью данного устройства вы сможете без труда и довольно быстро избавиться от скопления налета на поверхности пластин и зубов. Тем не менее, стоматологи-ортодонты не рекомендуют использовать данную щетку при наличии брекетов, поскольку сильным вращением головки можно повредить систему. Ультразвуковые щетки лучше также не применять, поскольку они могут привести к дроблению адгезива и отклеиванию пластинок от поверхности зубов.
- По данным Европейской Ассоциации ортодонтов.
Какие зубные щетки нужно приобрести для ухода за брекетами?
Для полноценного ухода недостаточно одной v- образной щетки. Для того чтобы быть уверенным в том, что зубы под брекет-системой идеально очищены, необходимо иметь в арсенале еще несколько типов щеток.
Интердентальные.
Этот тип используется для очистки промежутков между кронштейнами, а также зон под металлическими дугами. Интердентальные ершики выпускаются в разных размерах, поэтому их можно использовать и для глубокой чистки межзубных промежутков.
Монопучковые.
Монопучковая щетка имеет изогнутую форму, благодаря чему может добраться даже до самых труднодоступных мест. Предназначен этот тип щетки для ухода за брекетами, а не за зубами. Даже самые маленькие замочки и лигатуры будут идеально чистыми при ежедневном использовании монопучковых щеток.
Стоит знать, что любой тип щетки будет изнашиваться в несколько раз быстрее. Это связано с тем, что при очистке металлической системы, щетинки могут вырываться. Поэтому придется менять все аксессуары для ухода гораздо чаще, чем порекомендовано на упаковке.
Какую зубную щетку выбрать — мягкую или жесткую
Мягкая щетка бережно удаляет остатки пищи и налет, не оказывая сильного воздействия на ткани. Применять их показано в следующих случаях:

- возраст до 12 лет;
- повышенная чувствительность десен;
- стираемость зубной эмали;
- сахарный диабет;
- проблема свертываемости крови;
- подвижность зубов;
- беременность;
- ряд заболеваний пародонта.
Однако такая щетка бесполезна для курящих, любителей кофе и склонностью зубов к образованию налета. Также мягкая щетина не позволяет очистить межзубные пространства, если они слишком маленькие. В этих случаях лучше выбрать зубную щетку с более жесткими щетинками. Она обладает несколькими неоспоримыми преимуществами:
- удаляет зубной налет и поверхностные отложения на зубах и деснах;
- лучше очищает межзубные промежутки от остатков еды и микробов;
- препятствует потемнению эмали при употреблении кофе и курении;
- позволяет качественнее очистить ортодонтические конструкции.
Минусом жесткой щетки является наличие противопоказаний к ее применению, в числе которых — стираемость эмали, чувствительность десен и плохая свертываемость крови.
Зачем лечат зубы перед установкой брекетов?
В ходе диагностики стоматолог обращает внимание не только на ортодонтические нарушения, но и на состояние зубов в целом, на качество гигиенического ухода за полостью рта.
Брекет-систему нельзя ставить на зубы, пораженные кариесом, и при наличии любых стоматологических заболеваний в полости рта. Это приведет к дальнейшему разрушению зубов, помешает эффективной коррекции прикуса
Кроме того, ортодонтическая конструкция во рту сильно затрудняет процесс ежедневной чистки зубов и ухода за полостью рта, что дополнительно повышает риск стоматологических болезней. Поэтому перед началом ортодонтического лечения обязательно проводят санацию ротовой полости. Необходимо вылечить все зубы, при необходимости установить коронки, укрепить зубную эмаль с помощью назначенных врачом препаратов. Только после этого можно приступать к установке брекет-системы.
Самые хорошие брекеты — что выбрать?
Когда пациент обращается к ортодонту с целью коррекции прикуса и выравнивания зубов, он часто часто спрашивает — «какие брекеты самые лучшие». Стоматологи-ортодонты знают, что на этот вопрос нельзя ответить однозначно. Существует большое разнообразие брекет-систем, которые отличаются по конструкции, типам крепления, материалу и другими характеристикам. Каждый вариант обладает своими преимуществами и недостатками. Поэтому обычно врачи говорят, что лучшие брекеты — это эффективные брекеты. И для каждого пациента эффективными будут разные ортодонтические аппараты. Это зависит от сложности аномалии, возраста пациента и ряда других факторов. Поэтому сначала стоматолог проводит осмотр и полную ортодонтическую диагностику. Только после этого он может сделать вывод, какие брекеты ставить.
Популярные модели
В аптеках и специализированных точках продаж щетки для корректирующего изделия представлены в большом ассортименте. Каждый производитель гигиенических средств для ротовой полости выпускает свою линейку этих приспособлений.
Oral-B Ortho

Создана специалистами немецкой компании преимущественно для пациентов, которые проходят курс коррекции прикуса. Щетка Орал би Орто подходит как для ухода за брекет-системой, так и для очищения других ортодонтических изделий и зубов.
Обладает следующими особенностями:
- Ворс по середине с V-образным вырезом.
- Головка компактная округлой формы.
- Щетина изготавливается из упругого, но достаточно эластичного сырья.
- Шейка удлиненная и узкая.
- Форма удобная, эргономичный дизайн. На ручке присутствуют фигурные вставки с ребристой поверхностью, препятствующие выскальзыванию пальцев.
Стоимость около 280 руб.
Antiplaque Piave Dental Care
Монопучковая модель от итальянского производителя. В данном изделие предусмотрены:
- ручка с ребристыми упорами для пальцев;
- ворсинки изготовляются на лазерном оборудовании, что дает производителям сделать их поверхность абсолютно гладкой;
- щетина имеет волнообразную форму с закругленными концами.
Стоимость изделия начинается от 130 руб.
Triumph Professional Care
Электрическая модель от компании Oral-B. Она отличается особым качеством процедуры, которая достигается круговыми, пульсирующими и выметающими движениями. Такой эффект позволяет выполнить 3D-обработку брекетов за очень короткое время.
Изделие дополнено индикатором давления. Он позволяет держать под контролем силу воздействия на детали конструкции и предотвращает их порчу и деформацию. В модели предусмотрено 5 режимов работы, что очень удобно.

В комплекте с ней идут 7 насадок, одна их которых рассчитана для обработки ортодонтической конструкции.
Panasonic EW-DS 11 K 520
Японская модель, имея в комплекте 2 насадки, способна очищать эмаль и ортодонтическую конструкцию. Само изделие прямоугольной формы, с миниатюрной головкой, средней жесткости щетиной, которая изготавливается из специального сырья. Колпачок щетки способен удлинить ее ручку, что дает возможность добраться до самых отдаленных участков системы.
Имеет низкий показатель шума и выполняет только пульсирующие движения со скоростью 16 тыс./мин. Именно такой режим считается безопасным для брекетов.
Средняя цена изделия – 970 руб.
CPS Paro
Модель швейцарской компании в комплекте имеет дополнительную монопучковую насадку для ухода за зубами со стоящим на них корректирующим аппаратом.
Сама щетка выпускается 2-х видов: с тремя или четырьмя рядами щетинок, имеет длинную и удобную ручку. Ворсинки на головках выполнены из полиэстра, а их кончики закруглены. Такая особенность позволяет эффективно удалять налет с эмали под брекетами, не травмировать чувствительные десны.

Цена изделия начинается от 280 руб.
Важно: используя любое из перечисленных средств ухода за ортодонтическими конструкциями, важно строго придерживаться правил их чистки. Это значительно повысит ее качество и убережет систему от деформации.
Общие советы по использованию
- Перед применением щеточки нужно обязательно почистить зубы привычным способом (с помощью пасты и обычной щётки).
- Приспособление поднести к межзубным промежуткам (держать приспособление при этом перпендикулярно) и мягко помассировать необходимые участки зубов и брекет-систему (в особенности металлические дуги).
- Чистку желательно проводить после каждого приёма пищи.
- После каждого применения ёршик необходимо промывать тёплой водой и после закрывать его колпачком (входит в комплект).
- Процедуру проводить без использования специальных чистящих средств (пасты или зубного порошка).
- Как можно чаще менять изделие (при потере жёсткости ворсинок), в среднем раз в 2-4 недели.
В первые дни использования ёршика дёсна могут немного кровоточить, что вполне нормально для адаптационного периода.
Как часто и правильно нужно чистить зубы
Брекеты являются несъемной конструкцией, соответственно, снимать их во время приема пищи невозможно. В результате под элементами системы могут скапливаться частички еды, которые постепенно подвергаются воздействию бактерий, разлагаются и провоцируют поражение эмали или образование зубного камня. При недолжном уходе за полостью рта могут быть поражены не только зубы, но и десна. Для того чтобы зубы оставались здоровыми, нужно придерживаться правил ежедневной гигиены полости рта.
Советы ортодонтов: как правильно чистить зубы с брекетами:
Обычной зубной щеткой можно очистить зубы со стороны, где не расположены брекеты, а также поверхность моляров, тщательно очистив фиссуры.
Используя ортодонтическую щетку, очищают ту сторону зубного ряда, где зафиксирована конструкция. Не стоит делать быстрых или сильных движений
Щетку держат исключительно горизонтально, обрабатывая пластины, замочки и доступные участки эмали.
Уделяют внимание и межзубным пространствам. Для их очищения щетку располагают к зубам под углом 45 °
Движения руки должны рисовать «запятую».
Используя пасту и монопучковую щетку, очищают зубную эмаль под конструкцией в труднодоступных местах.
Для очищения эмали под дугой применяют ортодонтический ершик, который располагают прямо под металлической дугой и вращают, при этом немного смещая инструмент вверх-вниз.
Завершается гигиена применением ирригатора, зубной нити и ополаскивателем.
Чистить зубы с брекетами необходимо после каждого приема пищи. Если нет возможности выполнить гигиеническую процедуру, вне дома можно использовать ирригатор или ополаскиватель для полости рта.
Надо ли чистить зубы с брекетами зубной щеткой?
Процедура гигиенического ухода за зубами с установленными брекетами отличается от традиционной чистки. Для ухода за брекетами обычной зубной щетки недостаточно. Кроме этого, потребуется несколько специальных щеток, а также суперфлосс, ирригатор и ополаскиватели.
Можно чистить брекеты щеткой или нет, зависит от того, какой именно щеткой Вы пользуетесь. Для ухода за ортодонтическими аппаратами и полостью рта понадобятся следующие виды зубных щеток:
- Обычная с мягкой щетиной.
- Ортодонтическая с V-образным вырезом в щетине.
- Интердентальная (так называемый ершик).
- Монопучковая — щетка, у которой только один пучок щетины.
К процедуре ухода за полостью рта надо подходить комплексно и чистить зубы с применением всех перечисленных щеток.
Достаточно ли одной электрической щетки для полноценной гигиены
Любой, даже самой оснащенной зубной щетки будет недостаточно для качественного ухода за ротовой полостью пациента, носящего брекеты. Для того чтобы сохранить зубы и десна здоровыми, нужен комплексный подход.
Комплексная гигиена включает в себя:
- чистку зубов дважды в день;
- использование суперфлосса;
- полоскание полости рта специальными растворами после каждого приема пищи;
- использование ирригатора.
Суперфлосс – это очень тонкая зубная нить, которой удобно прочищать элементы ортодонтической конструкции. Суперфлосс дает возможность максимально качественно очистить поверхность зубной единицы вокруг каждого замочка брекет-системы.
Такой аппарат, как ирригатор не просто улучшает качество гигиены, но и снижает вероятность образования кариеса и патологий пародонта. Струя воды, направленная под напором, удаляет налет из межзубных промежутков и из-под десен.
Ополаскиватель для полости рта не просто смывает остатки пищи, но также оказывает противомикробное и противовоспалительное действие.
Помимо этого во время ортодонтического лечения раз в три месяца нужно проводить профессиональную чистку зубов от налета.
Все перечисленные средства должен подобрать врач, исходя из состояния полости рта и подобранного ортодонтического лечения.
Что такое ортодонтические зубные щетки для брекетов?
Ортодонтические зубные щетки — специальные девайсы для гигиены полости рта, которые необходимо использовать во время ношения брекетов.
Их основное отличие от стандартных зубных щеток состоит в том, что щетинки имеют разную длину: в середине находятся более короткие щетинки, по краям — длинные.
Щетинки ортодонтических зубных изделий изготавливаются из специального мягкого ворса, который не повреждает элементы брекет-системы.
Структура специальных устройств позволяет очищать и зубы, за которые «ответственны» длинные щетинки, и все элементы ортодонтической конструкции, с которыми справляются короткие щетинки.
Сейчас производители предлагают различные приспособления для брекетов, начиная от недорогих ершиков для зубов и ортодонтических конструкций и заканчивая многофункциональными электрическими щетками.
Популярные торговые марки
Большим спросом пользуется продукция следующих фирм-изготовителей:
- Oral-B pro-expert clinic line. Конфигурация зубных щеток от этой фирмы создана для очистки зубных протезов в труднодоступных местах – благодаря клиновидной щетине можно провести тщательную очистку внутренней стороны конструкции, ее изгибов.
- Oral-B pro-expert clinic line Denture Brush. Изделия этой линейки обладают плоской поверхностью щетины для достижения максимального соприкосновения с поверхностью. Заостренные щетинки тщательно очищают труднодоступные участки конструкции, внутренние стороны и изгибы.
- Fuchs. Щетки от этой фирмы оснащены двусторонними головками со щетинами на обеих сторонах для достижения максимального очищения протеза. Длинные и прямые щетинки имеют скошенную форму для очищения углублений и изгибов конструкции.
- PresiDent. Модели этой фирмы имеют две степени жесткости щетины (среднюю и жесткую). Сами щетинки обладают разной длиной, поэтому одновременно воздействуют и на поверхность конструкции и на труднодоступные места.





































